龙虎斗
豪门国际官网娱乐平台 开学一月, 不少“失散”文具找到啦小学生反复肺炎, 笔帽“藏”孩子支气管里
2026-04-02

(记者 徐睿捷 通信员 张璟祎 李文清)一开学就生病,一呼一吸发罕见异“咝……咝……”声,支气管肺炎反反复复。大夫察觉突出,透过纤支镜在孩子支气管里找到文具并取出。开学近一月,文具卡气说念患儿显着加多,大夫在孩子的气管里找到笔帽、笔盖等“失散”文具。大夫提醒,文具放口中,危急又不净,家长要提醒,反常要防御。

家住后湖的小阳(假名)上小学三年事,本年3月刚开学没多久小阳就驱动咳嗽,这一病即是泰半个月。“一驱动觉得是伤风,其后嗅觉有点不合劲。”姆妈告诉大夫,一驱动吃了半个多月的伤风药,可莫得好转,姆妈心里犯起了陈思,带孩子来武汉儿童病院就诊。
在武汉儿童病院呼吸内科行家门诊,澳门在线赌钱娱乐网入口王美丽主任医师听诊孩子的双肺呼吸音不合称,“咝……咝……”每次孩子呼吸齐会发出幽微的异响声,持续CT搜检,辩论卡异物的可能性较大。

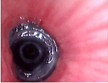
小阳迅速被收治住院,呼吸内科刘雪茹副主任医师为其进行支气管镜探查。跟着镜头逐渐探入,一个玄色圆柱形塑料出当今大夫的视线里,它紧紧地卡在右下叶基底段支气管中,周围遍布黄绿色脓性分泌物,气说念实在扫数堵死。
刘雪茹副主任医师伸出异物网篮,将异物完好意思取出,豪门国际官网娱乐网随后进行支气管肺泡灌洗,冲洗出多数混浊的液体。术后孩子的情况取得了死心,于3月31日凯旋出院。
兼并间病房里,睿睿的履历如出一辙。开学仅半个月时,他驱动阵发性咳嗽,搜检发现右肺支气管及远端分支管腔阻滞。大夫在支气管镜下进行探查,在右侧支气管远端分枝处取出一个1*3cm的透明弹簧笔帽,嵌顿部位也曾生息肉芽。医护东说念主员取出异物,并进行支气管肺泡灌洗,孩子妙手回春。

“开学季,文具成了气说念异物的千里默杀手。”武汉儿童病院呼吸内科刘雪茹副主任医师说,学龄前儿童较多见的是卡瓜子和花生等坚果类异物;开学其后就诊的多是学龄期儿童,他们卡的大多是文具等小零件。这些孩子齐有共同的履历:边作念功课边咬笔,小零部件含在嘴里玩,稍不矜重就容易滑进气说念大略食说念里。其时莫得显着症状也不敢告诉家长,不久后就驱动无语咳嗽,以致呼吸不畅。
武汉儿童病院呼吸内科陈和斌主任医师提醒豪门国际官网娱乐平台,要是孩子反复肺炎老不好,大略影像学教导器官内存在异物风险,要警惕可能是异物嵌顿的可能。孩子的文具要是缺胳背少腿,不妨多问一句,多叮属一声,熏陶孩子的风险驻防坚忍。更热切的是,当孩子出现不解原因剧烈咳嗽以致吐逆等“突出”信号时,提倡第一时间前去儿童专业病院呼吸内科就诊,借助当代医学器具实时烦嚣调理。
开云体育官方网站 - KAIYUN
备案号: